24小时急救电话:0375-4975120

新闻中心

新闻中心
字体: [ ]
“小切口 不停跳”!市二院胸心外科微创搭桥术 为患者带来“心”希望
来源: 平顶山市第二人民医院 发布时间:2024-07-11 浏览次数:30827次

“小切口 不停跳”!市二院胸心外科微创搭桥术 为患者带来“心”希望

开胸锯骨蜈蚣疤痕,是传统心脏搭桥手术给人的第一印象。虽然开胸搭桥手术挽救过无数患者,但该手术切口长、创伤大、恢复时间长,让不少患者望而却步。近日,市二院胸心外科团队在院士工作站常驻专家高峰教授带领下,又成功完成了一例小切口冠状动脉搭桥手术。该手术切口小、损伤轻、恢复时间短等优势,为冠心病患者提供了新的治疗选择。

微创小切口  解决心脏“大问题”

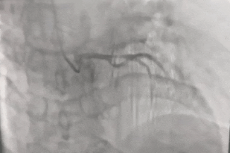
      62岁的李先生(化名)1个月前心前区会不时出现胸闷、胸痛等症状,运动、劳累后更易发作,每次发作持续时间3—5分钟,休息或含服速效救心丸后可缓解。李先生在我院心内科五病区住院后,第一时间接受了冠脉造影检查,结果显示前降支开口有一节段严重堵塞,狭窄程度约90%

“小切口 不停跳”!市二院胸心外科微创搭桥术 为患者带来“心”希望4351.png 

冠脉造影所示

     李先生接受了降血脂、稳定斑块、控制心室率、改善心功能、补充电解质等治疗。考虑到患者前降支狭窄非常严重,支架植入并非首选治疗方案,而且患者随时有心衰加重甚至呼吸心脏骤停、猝死等风险,科室主任王艳红详细告知家属病情,同时向医教部申请组织胸心外科会诊。经过详尽会诊以及和患者及家属沟通后,胸心外科副主任医师陈海全建议患者转科行冠状动脉搭桥手术(CABG治疗。

“小切口 不停跳”!市二院胸心外科微创搭桥术 为患者带来“心”希望4543.png 

冠状动脉搭桥手术示意图

要做心脏大手术,李先生家属虽明确表示会全力配合医生治疗,但仍有顾虑:是不是要大开刀?他的身体能承受住吗?

 陈海全医生向家属解释道:现在冠脉搭桥手术已经实现了微创,术中切口仅有6-10cm,是常规冠脉搭桥手术切口的1/3,因此该手术对身体创伤相对较小,患者恢复较快。

     患者及家属反复斟酌,决定接受冠脉搭桥手术。为防范术中可能出现的低心排、出血、心律失常等风险,术前胸心外科特聘专家高峰教授带领科室手术团队认真研判,制定周密的手术方案、多个替代方案以及应急处置预案。

一切术前准备就绪后,由高峰教授、陈海全医生等手术团队精心操作,为李先生实施了 “小切口冠状动脉旁路移植术(冠脉搭桥术)。术中在左前胸第五肋间取10cm长切口,行左乳内动脉——前降支搭桥。

“小切口 不停跳”!市二院胸心外科微创搭桥术 为患者带来“心”希望4896.png 

高峰教授、陈海全医生为患者实施手术

     由于手术切口小、视野和可操作空间狭窄,在跳动的心脏上搭桥开路,对于手术医生的技术和经验要求极高。整台手术使用专业的微创手术器械,将患者体内的一段乳内动脉,吻合在冠脉左前降支狭窄段远端,使血液顺利绕过冠脉狭窄部位,让原本缺血的心脏恢复供血。历经3个多小时紧张有序的手术操作,这台高难度的心脏搭桥手术顺利结束。

经过一系列精心的术后治疗和护理,患者恢复顺利,已于近日出院。

解除患者开胸恐惧  

心脏搭桥迈入微创时代

      科室主任邵松海表示,微创冠状动脉搭桥术是通过肋间小切口,在不用体外循环、保持心脏跳动的情况下,完成冠状动脉血管吻合。和传统切口的搭桥手术相比,微创搭桥手术避免了正中切开胸骨,胸腔骨性结构未遭受破坏,患者痛苦小、出血少、恢复快,有利于术后早期活动及下床,有效避免下肢血栓形成和肺部感染等并发症的出现,明显缩短住院时间。

如今,冠心病患者的血管病变程度呈现出越来越复杂的趋势。对于冠脉多支病变以及左主干、前降支单支病变严重的患者,尤其是高龄、左心功能不全、肝肾功能不全、慢阻肺、主动脉钙化、有出血倾向、中风后遗症等人群来讲,微创冠脉搭桥手术会带来更大收益。

      经过多年的不懈努力,我院在胸心外科手术领域不断取得新突破,微创冠状动脉搭桥手术已经从最初的单支搭桥发展到两支、三支甚至更多支搭桥,使众多心血管患者从中获益。

 部分图片源自网络,仅做医学科普使用,如有侵权请联系我们删除